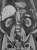
Gesundheit
"Kein Todesurteil" – Helios-Chefärzte aus Titisee-Neustadt klären über Darmkrebs auf
Allergie-Saison
Nase voll vom Frühling - welche Pollen sind jetzt im Südwesten unterwegs?
Interview
Zecken sind in Südbaden immer unterwegs: "Vorsichtig sein, ja – aber Panik ist nicht notwendig"
Laufsport
Podcast: Trainingstipps für den (Halb-)Marathon in Freiburg – "Ohne Frühstück zu trainieren, ist Gift für Frauen"
Interview
Suchtberater aus Emmendingen: "Wir reden beim Alkohol nicht über ein Hustenbonbon"
Gesundheit
Tabuthema Wechseljahre? Was Frauen hierzu im Job helfen kann
Ratgeber
Lebensmittel einfrieren: Was geht und was nicht - und wie lange?
Medizintechnik
Beispiel Uniklinik Freiburg: Wenn der Chirurg das Skalpell fernsteuert
Fastenzeit
Freiburger Mediziner übers Fasten: "Der Verzicht beginnt im Kopf"
Fragen & Antworten
"Gelassene Skepsis" – Tipps für besorgte Gamer-Eltern
Gesundheit
Hörakustiker aus Freiburg: "Schwerhörigkeit führt häufig zu Eheproblemen" – was bringen Hörgeräte mit Künstlicher Intelligenz?
Regionaltypische Rezepte
Ein neues Kochbuch verrät 80 Rezepte für Tapas aus dem Allgäu
Neues Beratungsangebot
Kaufsucht ist ein wachsendes Problem, auch in Freiburg
Ratgeber
Alltägliche Gewalt: Wie wird das Leben von jungen Frauen sicherer?
Psychische Probleme
Die Universität Freiburg bietet therapeutische Onlinehilfe für Kinder und Jugendliche an
Interview
Ärztin aus Titisee-Neustadt über Frühjahrsmüdigkeit: "Man sollte in den sonnigen Stunde raus gehen"